That Natural Filling

White Fillings

Unlike traditional amalgam fillings which contain mercury and can be very visible, white filling are made from organic looking materials and, when combined with enamel and dentine bonding techniques, can help restore damaged teeth and give them a more natural look and feel.

These more aesthetically pleasing fillings can be used as an alternative, or to replace, amalgam fillings.

Have a chat to any of our team about our white filling options
028 9086 3498

white fillings
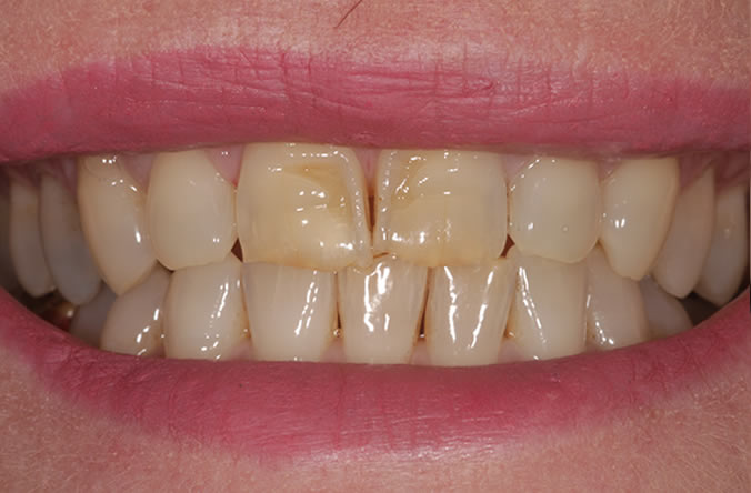
Monkstown white fillings before and after belfast whiten your teeth in belfast
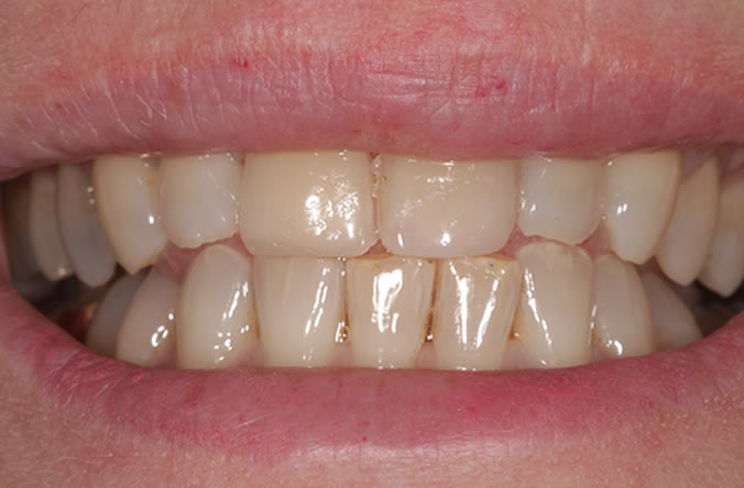
Monkstown white fillings before and after belfast whiten your teeth in belfast


HAPPY PATIENT

I thought filling were only for fixing cavities but my dentist used a white filling to fix a chip in my front tooth. Now it looks as good as new!

Frequently Asked Questions

GOOD TO KNOW

ARE WHITE FILLINGS REALLY LESS NOTICEABLE?

Only the best quality composite materials are used in our white fillings and our highly trained dentists use special techniques to restore your tooth to its original shape and contour. The end result is that they’re practically invisible!

IS PLACING A WHITE FILLING MORE COMPLEX THAN PLACING AN AMALGAM FILLING?

Yes. Because we match the colour and contour of your tooth exactly it takes more skill than a standard amalgam filling. Our dentists take great care and additional time to complete the procedure correctly to ensure you’re happy with the final result.

WILL I HAVE ANY DISCOMFORT?

Some patients experience mild sensitivity for a short period of time after the procedure but it usually goes away on its own after a few days. Most people, however, have no discomfort whatsoever.

Have a chat to any of our team about our white filling options
028 9086 3498

ENJOY LIFE AGAIN WITH OUR

DENTAL IMPLANTS

Monkstown dental implants