Precious or non-precious metal crowns are strong, typically gold in colour and used on back teeth where space is limited and aesthetics are less important.
Porcelain bonded to precious metal crowns give the double feature of long-lasting strength of metal and the more natural appearance of a porcelain coating.
Porcelain only crowns ,though not as strong as bonded crowns, offer the most natural appearance which makes them best suited for use on front teeth.

							  
							Crown and tooth whitening treatment
							  
							Treatment included crowns & dental implants
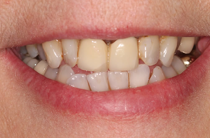
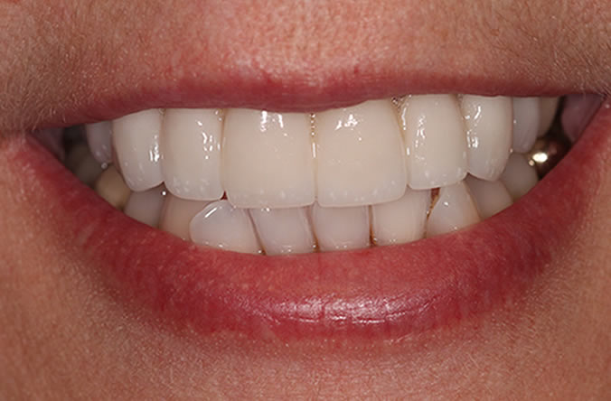
During a normal checkup my dentist said they could fix my chipped front tooth with a crown. I don’t hide my smile anymore- the tooth looks great!
Some patients may have some mild sensitivity for a period of time after the crown has been fitted but this usually goes away on its own within a few days.
We will first need to book an appointment so we can prepare your tooth for its new crown. During this appointment we will take impressions and match your shade to ensure the best colour match to your natural tooth and fit you with a temporary crown. You will then be asked to return for another appointment where we will bond your custom made crown onto your tooth.
Caring for your new permanent crown it easy- simply treat is as though it were your natural tooth. Regular brushing and flossing will help keep it clean and the gums around it healthy, though your dentist may need to show you a different technique to floss around your new crown.