Monkstown new patients welcome

An Ounce of Prevention

Preventative Approach

As the old saying goes, ‘An ounce of prevention is worth a pound of cure,’ and that’s especially true when it comes to your oral health.

Although regular visits to you dentist are essential to maintaining a beautiful smile and excellent dental health, preventative care can mean the difference between a routine exam and a complicated and intrusive treatment.

To help keep your teeth and gums healthy we can advise you on the following proven preventative treatments:

For Children

Monkstown icon drinks
Diet Advice
We’ll clear up common misconceptions about sugary snacks and drinks and offer healthier alternatives.

Monsktown icon dropper
Fluoride Supplements
By using fluoride drop from the age of 6 months can strengthen your child’s developing adult teeth and make them more resistant to decay.

Monkstown dental brush your teeth
Tooth Brushing Instructions
Our team will show your child the best way to brush their teeth and how to use timers and special dye tablets to show plaque and improve technique.


Fissure Sealants
We can apply a special coating to adult molars when they first appear to help prevent future decay.Fissure Sealants- these are coatings applied to adult molars when they first erupt to prevent decay in the future.

For Adults

Monkstown flossing hygiene
Oral Hygiene Instruction
To help prevent decay and gum disease we’ll cover the basics of efficient tooth-brushing combined with mouthwashes, floss and/or tepe brushes.

Monkstown icon drinks
Diet Advice
We’ll clear up common misconceptions about sugary snacks and drinks and offer healthier alternatives.

Monsktown sealant
Toothwear
There are different steps which can be taken to reduce different types of toothwear, for example acrylic biteguards can help reduce toothwear for patients who grind their teeth. We’ll take the time to find the treatment best suited for you.

Monkstown non-smoking
Smoking Cessation
Quitting smoking is an effective way of reducing your risk- or progression- of gum disease. Our dentists will take the time to discuss the different methods available to help you quit for good.


AMAZING RESULTS

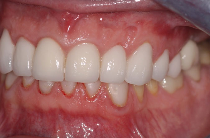
GUM CARE

Monkstown dental gum graft before and after belfast gum graft treatment in belfast

Gum Care Treatment


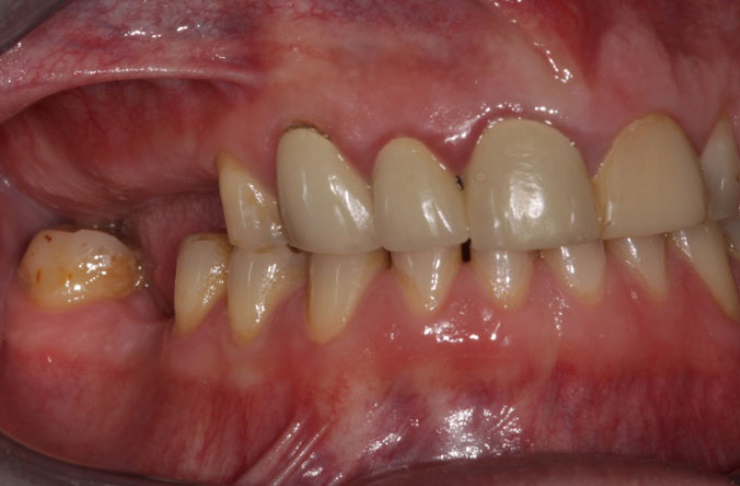
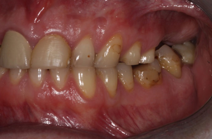
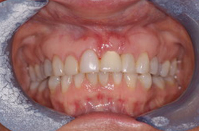
TOOTH WEAR

Monkstown dental tooth wear  belfast tooth wear treatment in belfast

Tooth Wear Treatment


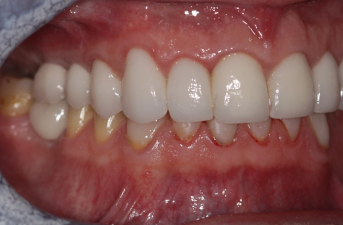
TOOTH WEAR

Monkstown dental tooth wear before and after belfast tooth wear treatment in belfast monkstown

Tooth Wear Treatment




HAPPY PATIENT

I didn’t know there was a “right” way to clean my teeth- but the techniques my dentist showed me have really made a difference

HELPING YOU TO

LOOK AFTER THEIR LITTLE SMILES

Monkstown kids mobile