STRAIGHTEN UP YOUR SMILE

ORTHODONTIC TREATMENTS

Orthodontic treatments aren’t just for kids any more. In fact here at Monkstown Dental we believe it’s never too late to boost your confidence with straighter, more beautiful teeth. And with recent advancements in orthodontics the process can be faster, easier and more discreet than ever before.

We offer a variety of appliances and aligners so there’s no excuse not to straighten up your smile!
clear braces at Monkstown
Invisalign

Whether you’re looking to make small adjustments or need more comprehensive realignment, Invisalign® offers a flexible and discreet solution tailored to your needs. Using a series of clear, removable aligners, Invisalign® can treat a wide range of orthodontic concerns—from mild crowding or spacing to more complex alignment issues.

Each set of aligners is custom-made to gradually move your teeth into the desired position with precision and comfort. The aligners are virtually invisible when worn, making them a popular choice for those who want a subtle alternative to traditional braces. They’re also removable, allowing you to eat, drink, brush, and floss with ease—supporting your oral hygiene throughout treatment.

With options ranging from quick corrective treatments to full orthodontic plans, our team can help you find the Invisalign® package that’s right for you.

Invisalign®
Clear Aligner FAQs

1. What is Invisalign®?

Invisalign® is a virtually invisible orthodontic system that uses a series of custom-made, removable aligners to gently shift teeth into their ideal position. No bulky metal brackets or wires required.

2. Which Invisalign® options are available?

o Invisalign® Comprehensive: Full treatment for moderate to severe cases of crowding, spacing and alignment.
o Invisalign® Moderate: This is the option for mild to moderate misalignment, spacing or crowding (typically up to 20 aligners)
o Invisalign® Lite: Shorter-term option for mild misalignment, spacing or crowding (typically up to 14 aligners)
o Invisalign® Express: Rapid, limited-stage correction (up to 7 aligners)
o Invisalign® Teen: Tailored for younger patients, with compliance indicators

3. How is my treatment planned?

We use Invisalign’s proprietary ClinCheck™ software to design your smile in 3D from start to finish. This digital treatment plan shows you each stage of tooth movement—even before you begin—so you know exactly how your smile will evolve.

4. Do I need messy impressions?

Not at all! We’ve invested in Invisalign’s iTero® intraoral scanner, which captures a fast, precise 3D model of your teeth—no goopy trays or retakes required.

5. Is teeth whitening included?

Yes. Once your aligner treatment is complete, you receive a complimentary professional whitening course to enhance and brighten your new smile.

6. What happens after aligners?

To lock in your results, you’ll receive complimentary Vivera® retainers —custom clear retainers made with the same precision technology as Invisalign®. We recommend wearing them nightly to keep your teeth perfectly aligned.

7. How long does treatment take?

Treatment duration varies by case complexity:
o Express/Lite: 3–6 months
o Moderate/Comprehensive: 6–18 months

Your ClinCheck™ plan will give a precise estimate before you start.

8. Is Invisalign® right for me?

Almost any adult or teen with spacing issues, crowding, or bite concerns can benefit. We’ll perform a full orthodontic assessment to confirm suitability and recommend the best option.

9. How much does it cost?

Treatment fees depend on the option you choose. After your Invisalign® consultation, we’ll provide a tailored quote, including all planning, aligners, whitening, and Vivera® retainers.

10. How do I get started?

Book your Invisalign® consultation by calling us on 028 9086 3498 . We’ll take your iTero® scan and discuss your custom treatment plan—there’s no obligation to proceed

Have a chat to any of our team about our Invisalign® options
028 9086 3498

Fixed appliances

This is the traditional orthodontic treatment that many people first think of when they hear the word ‘braces’. In severe cases these stainless steel fixed appliances can be offered under the NHS or independently depending on the severity of the case.

However, we also offer aesthetic fixed appliances on a private basis which are virtually invisible. These are made from a special material designed to blend with your natural tooth colour so seamlessly that most people won’t even know you are wearing them.

fixed braces at Monkstown
removable braces
Removable Appliances

These appliances are offered either on the NHS or privately and are often used to help correct your bite before we place fixed appliances.

In some cases a removable brace can be used on its own without needing fixed braces. Your dentist will know which treatment is best for you.

Functional Appliances

Functional appliances help promote/modify growth of the jaw, adapt the facial soft tissues and muscles to new positions, move whole groups of teeth simultaneously or change the angle of the teeth in patients under the age of 14.

functional braces
personalised treatment plan

The Benefits of Private Treatment

We would love to help you get the straight smile you've always wanted.

To avoid waiting lists and more flexible appointment times, you may want to consider the benefits of private treatment, which is available to all our patients.

Your dentist can answer any of your questions you may have and discuss our Dental Practice Treatment Plan to help you decide if private treatment is right for you.


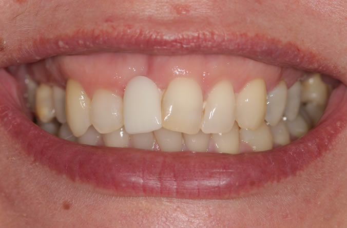
AMAZING RESULTS

ORTHODONTICS & DENTAL IMPLANT

Monkstown Orthodontica before and after belfast whiten your teeth in belfast

Combined orthodontics & dental implant treatment


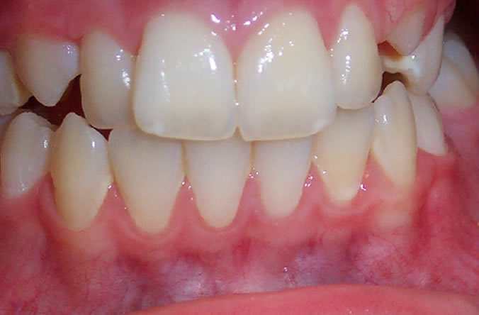
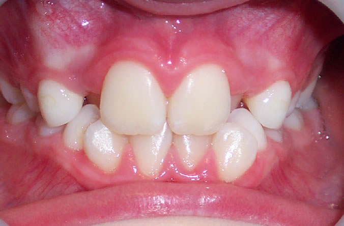
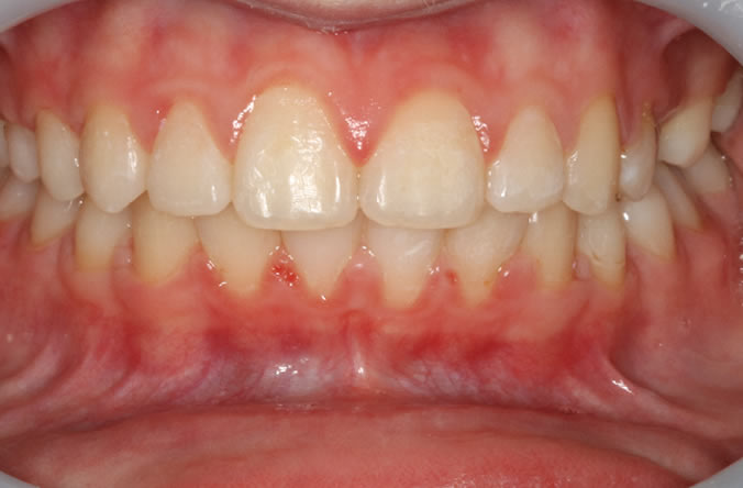
ORTHODONTIC TREATMENT

Monkstown Orthodontica before and after belfast whiten your teeth in belfast

Orthodontic treatment


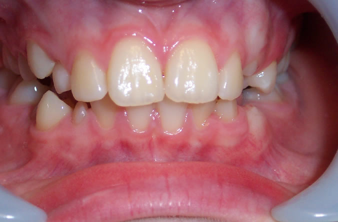
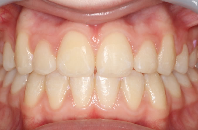
ORTHODONTIC TREATMENT

Monkstown Orthodontica before and after belfast whiten your teeth in belfast

Orthodontic treatment


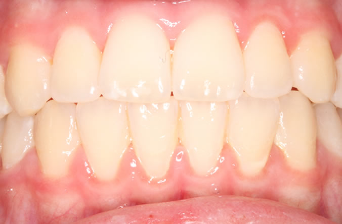
ORTHODONTIC TREATMENT

Monkstown Orthodontica before and after belfast whiten your teeth in belfast

Orthodontic treatment


ORTHODONTICS & BRIDGES

Monkstown Orthodontica before and after belfast whiten your teeth in belfast

Combined orthodontics & bridges treatment




HAPPY PATIENT

I never thought about straightening my teeth and I never thought I’d see such a difference after only a few weeks.

Frequently Asked Questions

GOOD TO KNOW

ARE ORTHODONTIC PROCEDURES PAINFUL?

In the past braces had a reputation for being uncomfortable if not outright painful. However, times have changed and because of the advancements in technology and techniques, many patients now only feel the occasional minor aches and pains- if they feel any discomfort at all.

Your dentist will be able to discuss with you the procedure that is best for you and any pain management options available should you need them.

WILL ORTHODONTIC TREATMENT AFFECT MY SPEECH?

Though they may feel strange in your mouth at first many appliances and aligners are so thin they shouldn’t make any noticeable difference to the way you talk. However, should they affect your speech it will probably be only minor and go away quickly as you grow used to having the appliance in your mouth.

WHY ARE STRAIGHT TEETH SO IMPORTANT?

Having straight teeth can help prevent many health issues including tooth decay, gum disease, tooth loss, difficulty in chewing or speaking, abnormal wear to your tooth enamel and jaw problems.

Have a chat to any of our team about our orthodontic options
028 9086 3498

ENJOY LIFE AGAIN WITH OUR

DENTAL IMPLANTS

dental implants at Monkstown